Dental Implants Tallahassee FL
Dental Implants
Replacing lost teeth is essential to a healthy mouth and a healthy body. It will provide you with increased aesthetics, of course, but will also improve your speech, ease of eating, and oral hygiene. Smiles by Beck is proud to have been restoring implants since their introduction to dentistry. Dr. Marci Beck, Dr. Glenn Beck, and Dr. Brian Beck have obtained advanced educational and clinical training in the restoration of dental implants.
An implant is a synthetic tooth root in the shape of a post that is surgically placed into the jawbone. The implant “root” is usually made of titanium: the same material used in many replacement hips and knees, and a metal that is well-suited to integrating with human bone. After the implant is placed and integrated into the jaw bone, it can be restored with a crown to replace a missing tooth.
Single or Multiple Implants

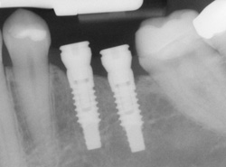
Implants can also be used to replace multiple missing teeth (implant bridge) or to secure removable devices such as dentures.
Dental implants are different than traditional dental prosthetics in the sense that they replace the entirety of the missing tooth (root and crown) without affecting adjacent teeth. A conventional bridge requires the cutting down of healthy tooth structure of the teeth adjacent to the missing teeth. If one of the teeth supporting the bridge goes bad, the entire bridge will need to be replaced
The advantage of replacing the root with a dental implant is that the bone in that area stays healthy and is not lost. Also, the instability of conventional bridges and dentures can make it difficult to eat or smile with confidence. Implants look more natural, have a stronger biting force, and feel like natural teeth.
Advantages Over Dentures or Bridges
Conventional bridges and dentures are not fixed to the bone, and can therefore be unstable. This can make it difficult to eat or smile with confidence. Implants not only look more natural, but feel and act more like normal teeth, with a stronger biting force. And because they don't directly rely on neighboring teeth for support, implants don't compromise the health of your natural teeth. In fact, bridges are only expected to last seven to ten years, even less with root canals, whereas implants will typically last a lifetime.

Maintaining the Health of Your Implant
Dental implants are designed to last a lifetime, unlike bridges, which have an average lifespan of seven to ten years. Like your natural teeth, you dental implant needs the same preventive care and maintenance. You’ll still need to visit our Tallahassee dental office for twice-yearly checkups and cleanings with the Smiles by Beck team. Remember: the better you take care of your implants, the longer they will last!
Feel free to visit our Tallahassee dental office to view before-and-after photos of completed implant restorations, and to find out if you’re a good candidate for dental implants.
        
 
                
          Website Powered by Sesame 24-7™